何が違う?AIを使いこなす医師、AIに使われる医師

  • 記事公開日:
    2024年01月10日

AIによる画像診断支援プログラムは2018年に初めて薬機法で薬事承認され、現在は多くの薬事承認された製品が販売されている。さらに2022年度の診療報酬改定では、特定の条件下で放射線科でのAI画像診断利用が保険適用となった。こうして「医療AIが当たり前」となっていく時代に、医師はAIをどう使いこなせばよいのか。AI画像診断支援を早期から導入してきた医療機関の担当医師に話を聞いた。

AI支援で診断の精度と速度が向上。働き方も変わる?

大腸に始まりさまざまな部位へ。AIの用途は拡大中

医療に活用されるAIの中で最も多いのは画像診断支援への利用だろう。2018年に薬機法で薬事承認された大腸の内視鏡画像診断支援ソフトウェア(EndoBRAIN®)を皮切りに、現在は胃、食道、肺、骨、頭部などさまざまな部位を対象としたAI画像診断支援ツールを多様な企業が商品化している。

先駆けとなったEndoBRAIN®シリーズは、昭和大学横浜市北部病院消化器センター、名古屋大学大学院情報学研究科、サイバネットシステム株式会社が連携して開発・製造。オリンパス株式会社が自社の内視鏡と組み合わせて販売する。

・大腸内視鏡で使用するEndoBRAIN®シリーズ(薬事承認された年順)

2018年 EndoBRAIN® 非腫瘍・腫瘍の鑑別診断支援

2020年 EndoBRAIN®-UC 潰瘍性大腸炎の鑑別診断支援

2020年 EndoBRAIN®-EYE 病変検出支援

2022年 EndoBRAIN®-Plus 癌の種類の鑑別診断支援

2023年 EndoBRAIN®-X 非腫瘍・腫瘍の鑑別診断支援

ただ、開発者の一人、昭和大学横浜市北部病院消化器センター講師の三澤将史氏は「検査中はAIの良さを実感しにくいだろう」と話す。

「使わずに見落としてもその場では分かりませんし、使った場合も鑑別診断の結論は病理診断の結果待ちになるため、検査中に『あって良かった』と感じにくいのが実情です。しかし、使えば病変の発見率や診断精度の向上が期待できることは実験で実証されています」

例えば、EndoBRAIN®では正診率96.0%、感度96.9%[国内多施設後ろ向き性能評価試験(EndoBRAIN STUDY)による結果]と高い検出率を示している。なお、EndoBRAIN®シリーズは開発中にはディープラーニングにより画像を学習するが、医療現場で新たな学習は行わない。

「これは直近に学習した画像により、発見や診断の精度が影響を受けるのを防ぐため。薬事承認を行うPMDAでも、現場で追加学習したプログラムの正確性をどう評価するかの検討は始まったばかり。医療現場におけるAIの活用はまだ発展途上なのです」

昭和大学横浜市北部病院消化器センター講師 三澤将史氏
昭和大学横浜市北部病院消化器センター講師 三澤将史氏/2005年新潟大学医学部卒業。昭和大学横浜市北部病院消化器センター助教を経て講師を務める。2023年から昭和大学内科学講座消化器内科学部門講師、昭和大学江東豊洲病院消化器センター講師を兼任。AIによる内視鏡画像診断支援ソフトウェア「EndoBRAIN®」開発者の一人。

AIの支援が効果的な医師、役立つ場面とは

では、AIによる画像診断支援はどう役立つのだろうか。

「内視鏡の専門医ならAIと同等かそれ以上の精度で検査ができると思います。一方、まだキャリアが浅い、内視鏡が専門でないなどノンエキスパートの医師の場合、AIによって検査精度が高まるケースは大いにあるでしょう。また、内視鏡検査を1日中続けていると、専門医でも午後には検査精度が落ちるのが一般的。あるいは検査の途中で電話に出たり周囲のスタッフと話したりした後は、再度検査に集中するのに時間がかかります。AIがあれば疲労や集中力不足による精度の低下が防げる可能性が高いですね」

同院消化器センターでAIを利用している若手医師が、ほかの病院に外勤に行くと少し不安を感じるといい、「AIを日常的に使うことで安心感も得られているようです」と三澤氏は言う。

こうした検査精度の向上に加え、キャリアが浅ければ30〜40秒ほどかかるポリープ切除の鑑別診断が10秒程度になるなど、検査時間の短縮にもつながる。同院の大腸内視鏡検査でもAIを使っているが、患者の受け止め方もほとんどがポジティブだという。

「ただ、こうした医師側のメリットより重要なのは、患者へのアウトカムが良くなること。エキスパートでもノンエキスパートでも、使うことで確実に検査精度が上がるという点で、AIによる画像診断支援は高く評価できます」

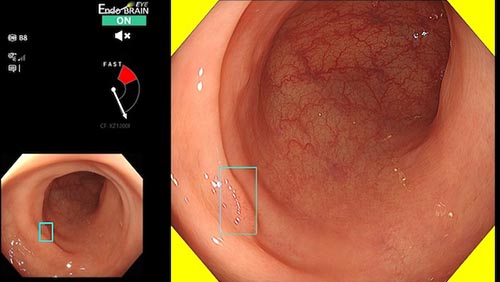
EndoBRAIN®-EYEによる病変検出支援の様子
EndoBRAIN®-EYEによる病変検出支援の様子
EndoBRAIN®-Plusでは癌の鑑別診断支援を行う
EndoBRAIN®-Plusでは癌の鑑別診断支援を行う
(画像はいずれも三澤氏提供)

結果に振り回されない、AIとのつき合い方とは

AIは的確な助言をくれる医師の役割

AIは「この部分に病変がある」「このポリープは非腫瘍/腫瘍」などの道案内はしてくれるが、現場でどう対応するかの判断は検査を担当する医師が行うことだ。「道案内が100%正しいとは限らないことを念頭に、AIに頼り過ぎないでほしい」と三澤氏も言う。

「ノンエキスパートの医師で、他人の意見を重視しやすいタイプなら、自分の意見と違うAIの結果が出るとかえって悩んでしまうかもしれません。すぐそばに助言をくれる別の医師がいて、その意見と『本当にそうか』とディスカッションするようなイメージでAIとつき合うことが大切です」

2018年の厚生労働省による通達「人工知能(AI)を用いた診断、治療等の支援を行うプログラムの利用と医師法第17条の規定との関係について」では、「人工知能(AI)を用いた診断・治療支援を行うプログラムを利用して診療を行う場合についても、診断、治療等を行う主体は医師であり、医師はその最終的な判断の責任を負う」としている。

「最終判断を行う医師として、これからAIをもっと使いこなすには、AIがどんなところで間違いやすいかを理解しておくことも大事でしょう。一方、私を含めた開発者、企業はAIごとの弱点を医師にきちんと提示し、フィードバックを受けて改善していく必要があります」

多くの医療機関で内視鏡検査を行っているように、今後はAIによる支援も医療現場に広く浸透してくるだろう。

「最初からAIの支援を受けるAIネイティブの医師に対し、最終判断を行う責任を担保するために、AIを使わない状況をどう教育していくのかは、これからディスカッションすべきテーマだと思います」

画像診断から検査自体の評価もAIで

画像診断に始まった内視鏡検査でのAI活用は、検査の質を評価する分野などにも今後は広がると三澤氏は予測する。

「検査にかかった時間、大腸全体をきちんと診たのかどうかなど、検査の適切性を評価するのは人間よりAIの方が得意です。このほか難易度の高い手術のナビゲーション、がん治療後のリスクの層別化などもAIの活用が目指されています」

AIが医療現場にどう普及するかは診療報酬次第の面もあるが、AI活用の研究がさらに発展することは間違いないだろう。

この記事を読んだ方におすすめ
幅広く求人を検討したい方
非公開求人を紹介してもらう
転職全般 お悩みの方
ご相談は無料転職のプロに相談してみる

あわせて読みたい記事

済生会病院では、瀬戸内海巡回診療船を共同運営して巡回診療を続けている。同事業に詳しい岡山済生会総合病院院長 塩出純二氏に話を聞いた。

コミュニケーションを難しくする要因は増える一方だ。患者とのコミュニケーションを深化させるには、どんな点に注意すればよいのだろうか。